У Львові лікарі обласної дитячої клінічної лікарні Охматдит виявили світлодіодну лампочку з гірлянди у чотирирічного хлопчика. Він проковтнув її, почав кашляти та задихатися. Про це повідомили у пресслужбі лікарні.
«В якийсь момент 4-річному синочку до ротика потрапила світлодіодна лампочка з гірлянди. Раніше він не брав до рота сторонніх предметів, але за якусь мить хлопчик проковтнув лампочку, почав кашляти і задихатися», – йдеться в повідомленні.

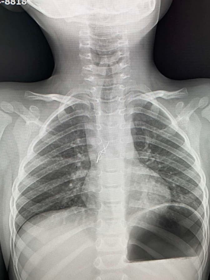
Чергові лікарі зробили рентгтен і побачили стороннє тіло у дихальних шляхах. Вуса лампочки травмували слизову оболонку дитини в ділянці біфуркації трахеї, там уже утворилися дрібні крововиливи. Діставали гірлянду без жодного розрізу за допомогою бронхоскопії. Зокрема, вусики гірлянди лікар захопив щипцями, завів їх у тубус бронхоскопа, щоб не травмувати бронхи і трахею під час видалення. Разом з цим тубусом лампочку і дістали.
У лікарні застерігають бути обережними з усіма дрібними і гострими предметами, якщо у домі є маленькі діти, адже вони мають звичку пробувати все на зуб.
Читайте також: Шпильки, кульчики і навіть ложка. Що ковтають наші діти. Фото
Додамо, що напередодні півторарічна дівчинка подавилася їжею. Стороннє тіло потрапило у верхні дихальні шляхи, тому дівчинка не могла дихати. Мама, керуючись рекомендаціями медиків зуміла надати своїй дитині першу медичну допомогу.
Якщо дитина подавилася, то, по-перше, слід зазирнути у рота дитині. Якщо предмет видно, то його можна обережно витягти, щоб ненароком не проштовхнути глибше. Якщо ж ні, то треба дитину покласти долілиць собі на стегно, підтримуючи голівку та шию. Тоді основою долоні постукати дитину між лопатками і дивитися, чи вийшов сторонній предмет з дихальних шляхів. Якщо він не вийшов, дитину треба перевернути, підтримати голівку та шию і двома пальцями натиснути кілька разів посередині грудей. Якщо ж дитина весь час непритомна, то слід перейти до прийомів штучного дихання.
Нагадаємо, Тvoemisto.tv уже писало, що робити батькам, якщо дитина проковтнула сторонній предмет. Детальніше про те, що найчастіше тягнуть до рота діти, читайте у матеріалі.





