
04 травня 2022, 13:43
04 травня 2022, 13:43
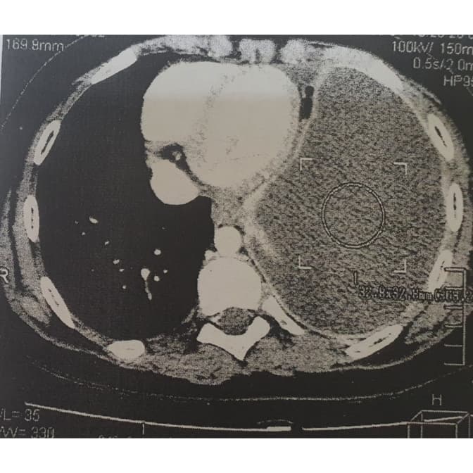
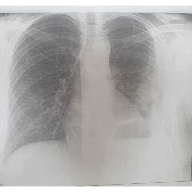
Львівські медики діагностували у Михайлика з Хмельниччини нагноєну кісту лівої легені великих розмірів із зміщенням середостіння вправо. Із такою вродженою вадою хлопчик прожив 10 років, не знаючи про це. Зі слів мами хлопчика, за життя дитині жодного разу не робили рентген, тому не могли знати про таку ваду.

«Михайлик ріс як всі діти, міг хворіти і кашляти, але жодного разу нас не скеровували на рентген. І лише останнім часом його стан почав погіршуватися – різко підвищилася температура, з’явилася задишка, кашель, знизився апетит, наросла загальна слабкість, тому ми почали бити на сполох», – цитує матір Михайлика пресслужба львівського «Охматдиту».
Читайте також: Питання дня. Як не захворіти у підвалах та укриттях
Діагноз її вразив – те, що можна було діагностувати одразу після народження сина, виявили через 10 років. А за словами лікаря-хірурга Олега Леніва, кіста була настільки великою, що займала всю ліву половину грудної клітки. Із роками це спровокувало суттєве зміщення серця дитини в праву сторону.

«Ми обстежили дитину і прийняли рішення про оперативне втручання з видалення кісти. Звичайно ж, такого виду оперативні втручання є високого ступеня ризику, але тригодинна робота наших хірургів пройшла успішно, післяопераційний період також пройшов без ускладнень», – додав лікар.
На сьогодні медикам вдалося відновити функцію лівої легені, серце зайняло своє природне положення, а дитину вже виписали під нагляд сімейного лікаря за місцем проживання. Михайлик з часом зможе вести активне життя. Водночас лікарі «Охматдиту» нагадують батькам на необхідності скринінгу новонароджених до року, бо часто це й справді важливо для порятунку і збереження їхнього майбутнього.
Нагадаємо, що львівські лікарі врятували близнючок Діану та Софію, які захворіли на пневномію, ховаючись у Києві від бомбардувань. Їх госпіталізували до львівської лікарні «Охматдит» у важкому стані.
Коментарі
Поки що немає коментарів. Будьте першим, хто залишить свій відгук!
Читайте також
Контент
Рубрики
Розроблено:
Levprograming
За умови повного або часткового використання iнформацiї гіперпосилання на tvoemisto.tv є обов'язковим. Відповідальність за достовірність фактів, цитат, власних імен та інших відомостей несуть автори публікацій, а рекламної інформації — рекламодавці. Думка редакцiї може не збiгатися з думкою авторiв.
© 2026 "Твоє місто"




