
11 липня 2022, 20:03
11 липня 2022, 20:03
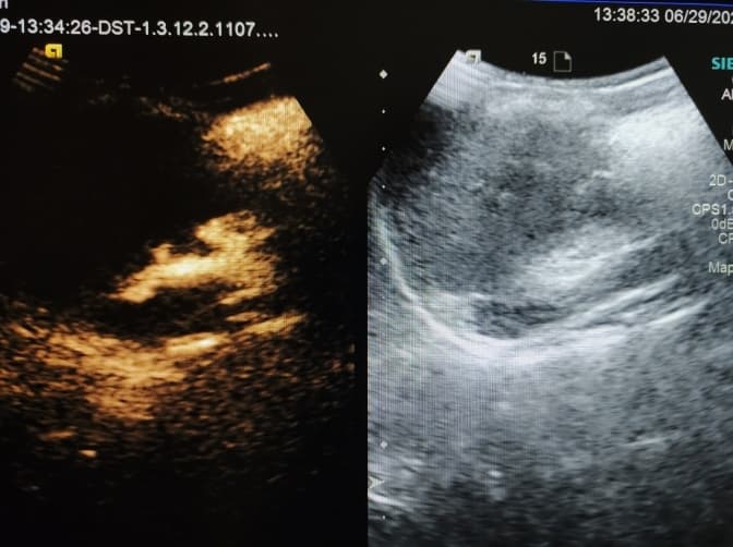
Урологи Західноукраїнського спеціалізованого дитячого медичного центру провели першу в Україні ультразвукову контрастно-підсилено мікційну цистографію. Дослідження допомогло підтвердити вроджену ваду сечовивідної системи у 5-річної дівчинки з Турківщини. Про це повідомили у пресслужбі лікарні.
Дівчинка Марійка та її батьки неодноразово зверталися до лікарів через рецидивуючі загострення інфекції сечовивідних шляхів. У медиків ЗУСДМЦ виникла підозра, що періодичні епізоди пієлонефриту могли виникати через вроджену ваду.

Відтак, з допомогою УЗД-цистографії з контастним підсиленням вдалось підтвердити причину частих інфекцій – двобічний міхурово-сечовий рефлюкс. Тепер дівчинку чекає відповідне лікування в урологів лікарні, зауважують медики.
Саме обстеження тривало близько 20 хв. Такий метод є безболісним та безпечним для пацієнтів.
«Суттєвими перевагами ультразвукової мікційної цистографії є відсутність іонізуючої радіації, нешкідливі гіпоалергенні контрастні середники і більша, порівняно з рентгенівською, чутливість та специфічність в діагностиці порушень уродинаміки», – повідомив лікар променевої діагностики ЗУСДМЦ Віктор Жельов.
Зазначимо, що цистографія – високоінформативний метод дослідження, що дозволяє отримати зображення безпосередньо порожнини сечового міхура, а также шляхів його поширення - уретри і сечоводів та чашко-мискових комплексів. Завдяки цистографії можна діагностувати складні захворювання: сечовідний рефлюкс, пухлини, свищі, запальний процес та інші.
Коментарі
Поки що немає коментарів. Будьте першим, хто залишить свій відгук!
Читайте також
Контент
Рубрики
Розроблено:
Levprograming
За умови повного або часткового використання iнформацiї гіперпосилання на tvoemisto.tv є обов'язковим. Відповідальність за достовірність фактів, цитат, власних імен та інших відомостей несуть автори публікацій, а рекламної інформації — рекламодавці. Думка редакцiї може не збiгатися з думкою авторiв.
© 2026 "Твоє місто"




