
10 липня 2024, 12:19
10 липня 2024, 12:19
Лікарі львівського Центру дитячої медицини «Охматдит» успішно прооперували 16-річного хлопця із захворюванням, від якого він дихав лише однією легенею. Про це повідомила пресслужба медзакладу.
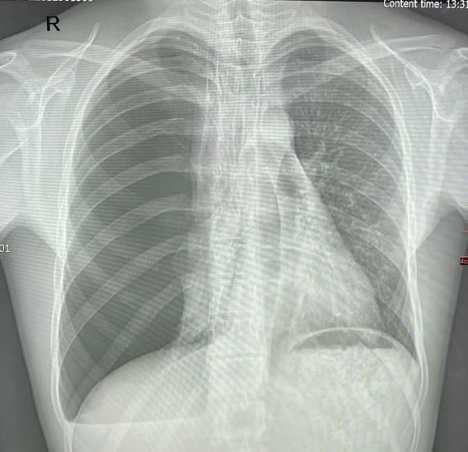
«У 2017 році, коли Олександру було 9 років – хлопець був шпиталізований до нашої лікарні із правобічним напруженим пневмотораксом. Це коли «рветься» легеня і нагнітається повітря у плевральну порожнину, відтак легеня стискається. Тоді лікарі провели усі необхідні обстеження та виявили бульозну хворобу легень», – йдеться у повідомленні.
Медики вказують, що це захворювання, яке повʼязане з гіпоплазією легень, при якому на поверхні є емфізиматозні були (пухирці), з і яких може надходити повітря у плевральну порожнину.

Після успішних дій медиків хлопець себе почував добре. Та через сім років під час планового медогляду виявили пневмоторакс. Давність захворювання невідома, адже скарг ніяких у хлопця не було роками.
«Відтак, наші хірурги одразу прооперували хлопця – спершу зробили торакоскопію, а тоді торакотомію. А також атипову резекцію верхньої долі правої легені. Тобто відрізали частину ураженої легені. Усе пройшло успішно! Легеня розправилась, хлопець почувається добре та виписаний із шпиталю», – зазначили у медзакладі.
Додають, що при такому діагнозі можуть наступати летальні наслідки, а тому це дуже небезпечно. Надалі Олександр проходитиме регулярні обстеження у медцентрі.
Нагадаємо, що медики Дитячої лікарні Святого Миколая врятували 15-річного Романа із рідкісним утворенням у критично важливій ділянці шиї.
Щоб отримувати актуальні й гарячі новини Львова та України, підписуйтеся на наш Instagram та Viber.
Трансляції важливих подій наживо і щотижневі відеопрограми – про актуальні львівські питання у «Темі тижня» та інтелектуальні розмови на загальноукраїнські теми у «Акцентах Твого міста» і публічні дискусії для спільного пошуку кращих рішень викликам громади міста – дивіться на нашому YouTube-каналі.
Коментарі
Поки що немає коментарів. Будьте першим, хто залишить свій відгук!
Читайте також
Контент
Рубрики
Розроблено:
Levprograming
За умови повного або часткового використання iнформацiї гіперпосилання на tvoemisto.tv є обов'язковим. Відповідальність за достовірність фактів, цитат, власних імен та інших відомостей несуть автори публікацій, а рекламної інформації — рекламодавці. Думка редакцiї може не збiгатися з думкою авторiв.
© 2026 "Твоє місто"




